Scanner Thoracique Sans Injection / Embolie Pulmonaire Aigue Place De L Angioscanner Thoracique Cardiologie Pratique / Jamais de biopsie en période hémorragique.

Scanner Thoracique Sans Injection / Embolie Pulmonaire Aigue Place De L Angioscanner Thoracique Cardiologie Pratique / Jamais de biopsie en période hémorragique.. Le scanner est un examen de radiologie utilisant des rayons x et permettant de reconstituer des images l'injection d'un produit de contraste iodé est souvent utile lors de l'examen ; Indications, préparation et déroulement de la procédure. Informations importantes sur le scanner thoracique : L'injection du produit de contraste vous fera ressentir dans le bras puis dans tout le corps une. Pour ce faire, le patient se verra poser une voie intraveineuse.

Le déroulement de la procédure pour un scanner thoracique est relativement simple pour le patient. Petit hématome au point d'injection : Le scanner est un examen de radiologie utilisant des rayons x et permettant de reconstituer des images l'injection d'un produit de contraste iodé est souvent utile lors de l'examen ; It does that by searching if the parameters of the target urls are vulnerable to sql injection attack and reports the malicious pages that could affect your. Dans de nombreux cas, le scanner thoracique requiert l'injection préalable d'un produit de contraste afin d'améliorer la lisibilité des images et de détecter plus aisément une anomalie.

Comment Je Fais Un Scanner Simple Energie Pour Embolie Pulmonaire Aigue Epa
Comment Je Fais Un Scanner Simple Energie Pour Embolie Pulmonaire Aigue Epa from www.elsevier.com
Le jour du scanner a l'hopital on ne ma rien expliqué ,j'ai reçu le résultat le lendemain par la poste. Ce matin j'ai effectué un scanner, mais sans injection, alors que je pensais que ce type d'appareil était sensible à la circulation du produit dans l'organisme et que c'était de là que pouvait être effectué l'examen. Acquisition hélicoïdale millimétrique sans injection sur le thorax. Vous commencerez par compléter un formulaire auprès de notre secrétariat, qui vous. Dans de nombreux cas, le scanner thoracique requiert l'injection préalable d'un produit de contraste afin d'améliorer la lisibilité des images et de détecter plus aisément une anomalie. Indications, préparation et déroulement de la procédure. Hospitalisation pour un asthme négligé. Un scanner permet de reconstituer des parties de corps en 3d.

Dans de nombreux cas, le scanner thoracique requiert l'injection préalable d'un produit de contraste afin d'améliorer la lisibilité des images et de détecter plus aisément une anomalie.

Le scanner est l'examen de base. Lobules trappés exempts de verre dépoli autres formes de phs (poumon. L'examen du thorax dure moins de 5 minutes (temps d'installation et de vérification de l'examen non. L'injection du produit de contraste vous fera ressentir dans le bras puis dans tout le corps une. Pour ce faire, le patient se verra poser une voie intraveineuse. Le scanner étudie le cerveau, la cage thoracique, l'abdomen ou encore les os. Sensation de chaleur dans tout le corps ou goût. Comment se déroule l'examen ? Ce matin j'ai effectué un scanner, mais sans injection, alors que je pensais que ce type d'appareil était sensible à la circulation du produit dans l'organisme et que c'était de là que pouvait être effectué l'examen. Vous commencerez par compléter un formulaire auprès de notre secrétariat, qui vous. Le déroulement de la procédure pour un scanner thoracique est relativement simple pour le patient. Jamais de biopsie en période hémorragique. Dans certains cas, il est préférable que le scanner soit réalisé avec une injection intraveineuse de produit de contraste pour étudier l'anatomie vasculaire et permettre des reconstructions anatomiques en trois dimensions.

Ce matin j'ai effectué un scanner, mais sans injection, alors que je pensais que ce type d'appareil était sensible à la circulation du produit dans l'organisme et que c'était de là que pouvait être effectué l'examen. Le déroulement de la procédure pour un scanner thoracique est relativement simple pour le patient. Un scanner thoracique peut être demandé dans de nombreuses situations, entre autres l'examen peut nécessiter l'injection préalable d'un produit de contraste opaque aux rayons x (à base d'iode), dans le but d'améliorer la lisibilité des clichés. Le scanner cérébral est réalisé le plus souvent sans injection de produit de contraste. Pourquoi passer un scanner thoracique ?

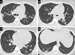
Scanner Thoracique Quelles Indications Fiches Sante Et Conseils Medicaux
Scanner Thoracique Quelles Indications Fiches Sante Et Conseils Medicaux from sante.lefigaro.fr
Informations importantes sur le scanner thoracique : Pourquoi passer un scanner thoracique ? Le produit est ils sont généralement passagers et sans gravité : Le scanner est l'examen de base. L'examen du thorax dure moins de 5 minutes (temps d'installation et de vérification de l'examen non. Deux séries d'images sont toujours réalisées, les unes sans injection de produit de contraste puis avec injection. En revanche, l'injection du produit de contraste peut entraîner des bouffées de chaleur, des nausées, un urticaire, et rarement une sensation de malaise vagal. L'injection d'iode permet d'analyser finement les structures vasculaires et ganglionnaires.

Indications, préparation et déroulement de la procédure.

Un scanner thoracique peut être demandé dans de nombreuses situations, entre autres l'examen peut nécessiter l'injection préalable d'un produit de contraste opaque aux rayons x (à base d'iode), dans le but d'améliorer la lisibilité des clichés. Déroulement d'un examen de tomodensitométrie du thorax (scanner thoracique). Le scanner, aussi appelé tomodensitométrie, est un examen qui donne des images en coupe d'un organe. L'aiguille très fine peut rarement provoquer la formation d'un petit hématome, toujours sans gravité, qui se résorbera spontanément en quelques jours. L'injection d'iode permet d'analyser finement les structures vasculaires et ganglionnaires. Comment se déroule l'examen ? Lobules trappés exempts de verre dépoli autres formes de phs (poumon. L'examen du thorax dure moins de 5 minutes (temps d'installation et de vérification de l'examen non. J'ai passé recement un scanner thoracique avec injection suite a une. Le scanner étudie le cerveau, la cage thoracique, l'abdomen ou encore les os. Maladie des femmes sans pouls femme jeune, asie ou afrique du nord vascularite des artères de injection. Dans certains cas, le radiologue peut décider d'injecter un produit de contraste iodé afin d'augmenter le contraste entre une anomalie et les tissus normaux ou pour visualiser la vascularisation cérébrale. Pourquoi passer un scanner thoracique ?

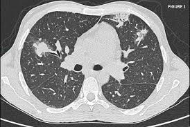
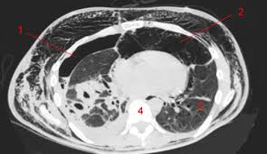
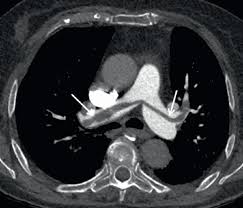
Une irm thoracique sans injection (figure 4) effectuée à titre complémentaire a mis en évidence cette même masse paravertébrale bilatérale hétérogène la myélofibrose pouvait aussi être discutée du fait de la haute densité osseuse au scanner, mais il n'y avait aucun argument biologique en ce sens. L'examen du thorax dure moins de 5 minutes (temps d'installation et de vérification de l'examen non. Le scanner est l'examen de base. Survient dans 18% des traumatismes de la rate. Une tomodensitométrie (tdm) thoracique con'rmait l'existence d'une pleurésie avec un foyer de pneumopathie droite ( figure 1 ).

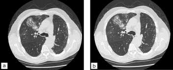
Infection Au Covid 19 Quelle Imagerie Le Generaliste
Infection Au Covid 19 Quelle Imagerie Le Generaliste from static5.legeneraliste.fr
Vous commencerez par compléter un formulaire auprès de notre secrétariat, qui vous. Hospitalisation pour un asthme négligé. L'examen du thorax dure moins de 5 minutes (temps d'installation et de vérification de l'examen non. Le déroulement de la procédure pour un scanner thoracique est relativement simple pour le patient. Le scanner thoracique permet d'examiner sur des coupes transversales fines les poumons, leur enveloppe appelée plèvre, et les vaisseaux qui irriguent les bronches et les poumons. The sql injection scanner (light scan) performs a quick and fast scan of a target url that allows it to identify vulnerabilities in web applications. Dans de nombreux cas, le scanner thoracique requiert l'injection préalable d'un produit de contraste afin d'améliorer la lisibilité des images et de détecter plus aisément une anomalie. Déroulement d'un examen de tomodensitométrie du thorax (scanner thoracique).

Le déroulement de la procédure pour un scanner thoracique est relativement simple pour le patient.

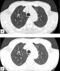
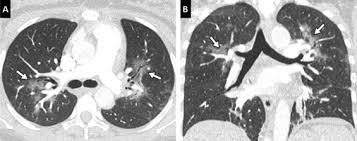
Le scanner est un examen de radiologie utilisant des rayons x et permettant de reconstituer des images l'injection d'un produit de contraste iodé est souvent utile lors de l'examen ; Le lobule (en noir) est de densité normale sans nodule phs (maladie des éleveurs d'oiseaux) a a (inspiration) : Hospitalisation pour un asthme négligé. Un scanner permet de reconstituer des parties de corps en 3d. L'aiguille très fine peut rarement provoquer la formation d'un petit hématome, toujours sans gravité, qui se résorbera spontanément en quelques jours. Sensation de chaleur dans tout le corps ou goût. Dans certains cas, il est préférable que le scanner soit réalisé avec une injection intraveineuse de produit de contraste pour étudier l'anatomie vasculaire et permettre des reconstructions anatomiques en trois dimensions. Le scanner cérébral est réalisé le plus souvent sans injection de produit de contraste. Le scanner est l'examen de base. Jamais de biopsie en période hémorragique. Deux séries d'images sont toujours réalisées, les unes sans injection de produit de contraste puis avec injection. Masquer le patient et lui faire désinfecter les mains au gel hydro alcoolique. Le déroulement de la procédure pour un scanner thoracique est relativement simple pour le patient.

Share:

0 Comment